Saalfeld-Rudolstadt: Unbekannter schießt auf Katze - Tier muss eingeschläfert werden
ots/Landespolizeiinspektion Saalfeld
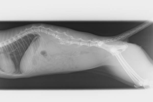
Tanna (ots) - Im Zeitraum vom vergangenen Freitag bis Montag wurde eine Katze durch einen Unbekannten angeschossen und so schwer verletzt, dass sie eingeschläfert werden musste. Die Halterin hatte im Rahmen der Anzeigenerstattung berichtet, dass ihre 1,5 jährige Katze, welche Freigänger ist, seit dem Abend des 24.07.2020 aus dem Stickereiweg in Tanna vermisst wurde. Gegen Montagmittag erhielt sie nach umfangreicher Suche einen Hinweis, dass sich eine augenscheinlich verletzte Katze in einem Lichtschacht unweit ihres Anwesens, ebenfalls im Stickereiweg, befindet. Die Vermutung bestätigte sich: Es handelte sich um die gesuchte Katze- augenscheinlich unfähig, sich zu bewegen und in den eigenen Exkrementen liegend. Die Tierhalter verbrachten sie umgehend zum Tierarzt nach Schleiz, dort wurde festgestellt, dass die Katze einen Durchschuss im Bereich der Wirbelsäule erlitten hatte, welcher nicht behandelbar war. Schweren Herzens entschlossen sich die Besitzer, das Tier von seinem Leiden zu erlösen und hoffen nun auf Zeugenhinweise aus der Bevölkerung. Das Tier könnte im Bereich des Stickereiweges oder aber auch im nahen Umfeld angeschossen worden sein- aufgrund der Schwere der Verletzungen und den damit einhergehenden Fortbewegungsschwierigkeiten wird ein Tatort in großer Entfernung nahezu ausgeschlossen. Gemäß §17 des Tierschutzgesetzes können Beschuldigte, welche ein Tier grundlos töten oder ihm erhebliche Schmerzen/Leiden zufügen, mit einer Freiheitsstrafe bis zu drei Jahren oder mit Geldstrafe bestraft werden. Bei verdächtigen Wahrnehmungen, sachdienlichen Hinweisen zum Vorfall oder aber wenn Ihrem Tier ähnliches widerfahren ist, wenden Sie sich an die zuständige Polizeidienststelle, in diesem Fall an die PI Saale-Orla unter 03663-4310. Das Geschoss wurde bislang nicht aufgefunden- der Umfang wird auf etwa 4,5 mm geschätzt. Es ist bislang unklar, ob die Munition eines Luftdruckgewehres, oder aber ein Gewehr mit größerer Durchschlagskraft, den Durchschuss verursacht haben könnte. Die Besitzerin stimmte der Veröffentlichung des Röntgenbildes sowie einer Aufnahme der Verletzung zu.
Quelle: Original-Content von: Landespolizeiinspektion Saalfeld, übermittelt durch news aktuell
